Steps in Treatment

1. Your First Visit

Your very first appointment will take 30 minutes. A ‘Patient Details’ form and a health questionnaire will be posted out to you to complete before your first visit. Please bring them to your appointment. Mark will discuss your concerns and then conduct a thorough examination of your facial structure, bite, alignment of the teeth, health of the soft tissues and jaw function. Mark will also take a series of facial measurements. By the end of this consultation, Mark can give you an indication of what treatment is likely, although further records will need to be taken.

2. Records

Digitized impressions of the teeth
Digitized impressions of the teeth

If you are keen to start treatment, Mark will take moulds/impressions of your teeth. These impressions are sent to a lab where they are digitally scanned. He will also take digital photographs of your face. You will be given a referral for digital x-rays at Pacific Radiology - St George’s (151 Leinster Rd, Strowan). Digital x-rays have a lower radiation dose than conventional x-rays.

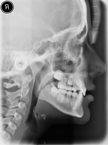
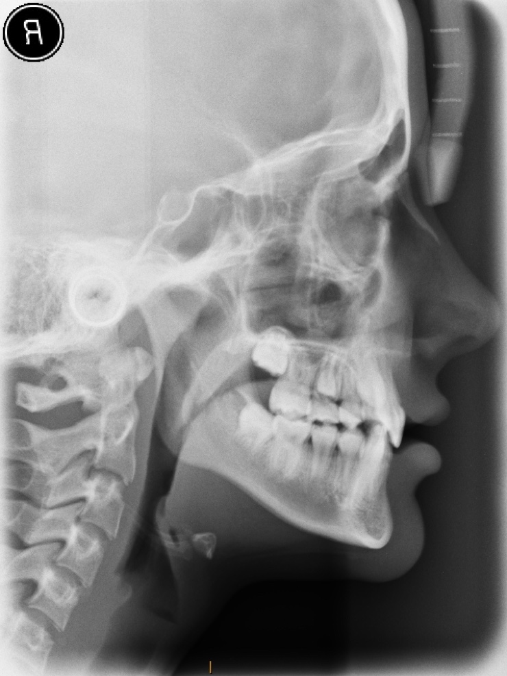
Lateral Cephalometric X-ray of the head
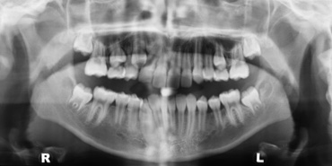
Orthopantomograph X-ray of the teeth and jaws

With these records, Mark will be able to provide a detailed and accurate assessment, and a personalised treatment plan.

If it is too early to start treatment, regular reviews (at no cost, unless x-rays are required) will be offered to monitor your child’s dental growth and jaw development until they are ready to commence treatment.

3. Treatment discussion and Treatment fees

This 30 minute appointment allows Mark to explain your bite problems and discuss the orthodontic treatment and alternatives where possible. The treatment cost reflects the complexity of your orthodontic treatment and your desired outcome.

4. Braces on

A 1 hour appointment lets Mark place your braces on your teeth and instruct you on the care of your new braces.

5. Regular adjustments

The 15 minute appointments allow Mark to adjust your appliance and to monitor the progress of your tooth movements. The o-rings are changed so you can choose what colour you would like next. These appointments are scheduled 4-8 weeks apart. Any missed appointments will lengthen the time of your treatment.

6. Braces off

The big day you’ve been waiting for. The 1 hour appointment lets Mark remove your braces. New impressions of your teeth will be taken for your custom fit retainers. Your retainers will be fitted a week after your braces are removed.

7. Retention checks

Regular appointments with your retainers will continue for up to 2 years following the removal of your braces. Mark monitors your retainer fit and usage. Ideally your retainers will need to be worn long term to minimise the natural tooth movements.